
BUSCAR ESPECIES
Ejs.: zorro colorado / pseudalopex / culpaeus
BUSCAR AREAS PROTEGIDAS
Ejs.: Parque nacional / Corrientes / Mburucuya
Año de creación: 1958
Superficie: 500 has.
Ubicación: BUENOS AIRES
Departamentos/Partidos :
Berazategui (BUENOS AIRES)
Ensenada (BUENOS AIRES)
Ecorregión: Delta e Islas Río Paraná
Latitud: 34º48' S (-34.80000)
Longitud: 58º00' O (-58.00000)
Datos de contacto:
E-mail:
Dirección postal:
Teléfonos:
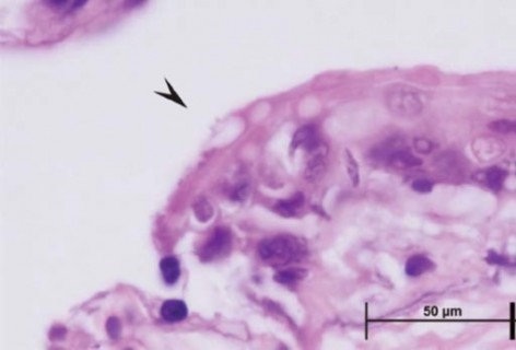
(c) Delgado et al. 2012. Seccion histologica de la epidermis ventral de un especimen adulto de Physalaemus fernandezae de la Reserva Natural Punta Lara, Buenos Aires. La flecha indica un zoosporangio vaciÃ??Ã?Âo, con tubo de descarga.. First record of Batrachochytrium dendrobatidis in Physalaemus fernandezae (Anura. Leiuperidae) for Buenos Aires Province, Argentina. Herpetological Review, 43 (1): 84-85.
ampliar
| Categoría de conservación | Ecorregión |
| I Reserva Natural Estricta | Delta e Islas del Paraná ( 500has) |
Especies con presencia validada por especialistas
Especies citadas en las fuentes bibliográficas del SIB
Especies autóctonas citadas en las fuentes bibliográficas del SIB
Especies exóticas citadas en las fuentes bibliográficas del SIB
Especies endémicas del área citadas en las fuentes bibliográficas del SIB
Especies de valor especial para la APN
Avistajes de vertebrados de valor especial
Especies de mamíferos amenazadas según SAREM 2012
Especies de reptiles amenazadas según AHA 2012
Especies de anfibios amenazadas según AHA 2012
Especies de aves amenazadas según AA_SADS 2008
Especies de peces amenazadas según Chebez et al.,2009
Especies de plantas endémicas según Lista Roja PlanEAR, 2010
Especies de anfibios y reptiles amenazados según Res. 1055/2013 de la SAyDSExportar lista a planilla Excel
Otoniela lupercioi
Agalenocosa gentilis
Agalenocosa velox
Ariadna mollis
Faiditus laraensis
Acropsopilio chilensis
Americhernes perproximus
Eurytion heurtaultae
Pachyurus bonariensis
Plagioscion ternetzi
Astyanax lacustris
Psalidodon alleni
Psalidodon eigenmanniorum
Psalidodon rutilus
Schizodon platae
Charax stenopterus
Cheirodon interruptus
Cynopotamus argenteus
Galeocharax humeralis
Oligosarcus oligolepis
Raphiodon vulpinus
Roeboides microlepis
Cyphocharax platanus
Cyphocharax saladensis
Cyphocharax spilotus
Cyphocharax voga
Hoplias argentinensis
Prochilodus lineatus
Serrasalmus maculatus
Bryconamericus exodon
Crenicichla lepidota
Gymnogeophagus meridionalis
Brevoortia aurea
Ramnogaster melanostoma
Lycengraulis grossidens
Pellona flavipinnis
Cyprinus carpio
Jenynsia lineata
Cnesterodon decemmaculatus
Phalloceros caudimaculatus
Argolebias nigripinnis
Austrolebias bellottii
Eigenmannia trilineata
Catathyridium jenynsii
Ageneiosus militaris
Auchenipterus osteomystax
Trachelyopterus galeatus
Callichthys callichthys
Hoplisoma paleatum
Hoplosternum littorale
Oxydoras kneri
Rhinodoras dorbignyi
Pimelodella laticeps
Rhamdia quelen
Hypostomus commersoni
Loricariichthys anus
Otocinclus arnoldi
Rineloricaria sp.
Iheringichthys labrosus
Luciopimelodus pati
Parapimelodus valenciennis
Pimelodus albicans
Pimelodus argenteus
Pimelodus maculatus
Sorubim lima
Zungaro jahu
Synbranchus marmoratus
Physalaemus fernandezae
Potamotrygon brachyura
Diatrype costesii
Diatrype stigma
Eutypa leioplaca
Eutypella leprosa
Peroneutypa comosa
Peroneutypa scoparia
Mycena paranaensis
Pleurotus albidus
Batrachochytrium dendrobatidis
Prunus domesticaExportar lista a planilla Excel
Otoniela lupercioi
Agalenocosa gentilis
Agalenocosa velox
Ariadna mollis
Faiditus laraensis
Acropsopilio chilensis
Eurytion heurtaultae
Pachyurus bonariensis
Plagioscion ternetzi
Astyanax lacustris
Psalidodon alleni
Psalidodon eigenmanniorum
Psalidodon rutilus
Schizodon platae
Charax stenopterus
Cheirodon interruptus
Cynopotamus argenteus
Galeocharax humeralis
Oligosarcus oligolepis
Raphiodon vulpinus
Roeboides microlepis
Cyphocharax platanus
Cyphocharax voga
Hoplias argentinensis
Prochilodus lineatus
Serrasalmus maculatus
Crenicichla lepidota
Gymnogeophagus meridionalis
Brevoortia aurea
Ramnogaster melanostoma
Lycengraulis grossidens
Pellona flavipinnis
Jenynsia lineata
Cnesterodon decemmaculatus
Phalloceros caudimaculatus
Argolebias nigripinnis
Austrolebias bellottii
Eigenmannia trilineata
Catathyridium jenynsii
Ageneiosus militaris
Auchenipterus osteomystax
Callichthys callichthys
Hoplisoma paleatum
Hoplosternum littorale
Oxydoras kneri
Rhinodoras dorbignyi
Pimelodella laticeps
Rhamdia quelen
Hypostomus commersoni
Loricariichthys anus
Otocinclus arnoldi
Iheringichthys labrosus
Luciopimelodus pati
Pimelodus albicans
Pimelodus argenteus
Pimelodus maculatus
Sorubim lima
Zungaro jahu
Synbranchus marmoratus
Physalaemus fernandezae
Potamotrygon brachyura
Diatrype costesii
Diatrype stigma
Peroneutypa comosa
Peroneutypa scoparia
Mycena paranaensisExportar lista a planilla Excel
Cyprinus carpio
Batrachochytrium dendrobatidis
Prunus domesticaExportar lista a planilla Excel
Bryconamericus exodon Rara
Brevoortia aurea Rara
Argolebias nigripinnis Rara
Eigenmannia trilineata RaraSe encontraron 14 fuentes, que ubican especies en esta área
Exportar lista a planilla Excel
Delgado, C.S.; Natale, G.S.; Herrera, R.A. & D.A. Barrasso, 2012. First record of Batrachochytrium dendrobatidis in Physalaemus fernandezae (Anura. Leiuperidae) for Buenos Aires Province, Argentina. Herpetological Review, 43 (1): 84-85.
Abrir ficha
Delucchi, G., 2011. Sinopsis de las especies de Rosaceae adventicias: subfamilia Prunoidea. Bonplandia 20(1): 73-94.
Abrir ficha
González, A. & D.C. Castro, 1996. Neotropical spiders of the genus Argyrodes Simon (Araneae, Theridiidae). Bull. Br. Arachnol. Soc., 10 (4): 127-137.
Abrir ficha
Grismado, C.J., 2008. A taxonomic revision of the spider genus Ariadna Audouin, 1826 in Argentina and Chile, with the description of five new species (Arachnida, Araneae, Segestriidae). Zoosystema, 30(2): 333-360.
Abrir ficha
Lechner, B.E.; Wright, J.E. & E. Albertó, 2004. Mycologia, 96(4): 845-858.
Abrir ficha
Jorge Liotta, 2006. Distribución geográfica de los peces de aguas continentales de la República Argentina
Abrir ficha
Llompart, F., A. Paracampo, P. Solimano & I. García, 2012. Peces de la Reserva Natural Punta Lara. En 57-70: Roesler, I. y M.G. Agostini (eds). Inventario de los Vertebrados de la Reserva Natural Punta Lara, provincia de Buenos Aires, Argentina. Temas de Naturaleza y Conservación, Monografía de Aves Argentinas No 8. Buenos Aires, Argentina.
Abrir ficha
Mahnert, V.; Di Iorio, O.; Turienzo, P. & A. Porta, 2011. Pseudoscorpions (Arachnida) from Argentina. New records of distributions and habitats, corrections and an identification key. Zootaxa, 2881: 1-30.
Abrir ficha
Moreno, G.; Castillo, A.; Deschamps, J.R.; Giménez, G.; Hladki, A. & A. López-Villalba, 2015. Critical revision of some Myxomycetes deposited in the Buenos Aires herbaria BAFC, BA and the Tucuman LIL. IV. Bol. Soc. Micol. Madrid, 39: 129-140.
Abrir ficha
Niveiro, N.; Popoff, O.F. & E.O. Albertó, 2015. Presencia de Mycena paranaensis para la micobiota argentina y reconsideración de Mycena leaiana (Agaricales, Mycenaceae). Darwiniana, nueva serie 3(1): 89-95.
Abrir ficha
Oliveira, L.F.M.; De Alvarenga, J.G.G. & A.D. Brescovit, 2023. On the Neotropical spider genus Otoniela Brescovit, 1997 (Araneae: Anyphaenidae, Anyphaeninae), with the decription of six new species. Zootaxa, 5383 (1): 1-23.
Abrir ficha
Pereira, L.A., 2006. Eurytion herutaultae sp. n. from Argentina and Uruguay with notes on E. tenebrosus and E. yungarum and a key to the Neotropical taxa of the genus (Chilopoda: Geophilomorpha: Geophilidae). Studies on Neotropical Fauna and Environment, 41 (2): 153-168.
Abrir ficha
Piacentini, L.N., 2014. A taxonomic review of the wolf spider genus Agalenocosa Mello-Leitao (Araneae, Lycosidae). Zootaxa, 3790 (1): 001-135.
Abrir ficha
Robles, C.A.; D´Jonsiles, M.F.; Romano, G.M.; Hladki, A. & C.C. Carmarán, 2016. Diversidad y distribución de Diatrypaceae (Ascomycota) en Argentina y nuevos registros para el país. Darwiniana, nueva serie, 4 (2): 263-276.
Abrir ficha